2022. 9. 21. 20:14ㆍ질병, 건강 공부
특발성 폐섬유화증은 폐실질의 섬유화가 점점 진행되는 간질성 폐렴으로 운동 시 갑자기 호흡곤란이 오는 증상이 대표적이라고 한다. 특발성 폐섬유화증은 진단 후 수년 내 사망할 위험성이 높고 예후가 좋지 않아서 금연이 필수라고 한다.


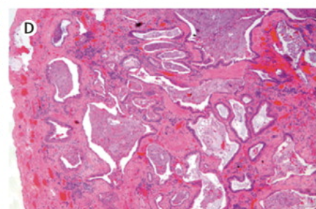
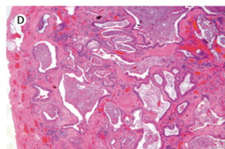
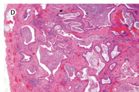
만성적으로 진행되는 간질성 폐질환의 하나로, 병의 경과가 좋지 않고 증명된 치료 방법이 없는 질환이다. 폐의 조직검사 결과를 판독해서 벌집모양(honeycombing)과 일정하지 않은 모양(heterogenicity) 등이 나올 때 진단한다. 흔히 흡연 경력이 있는 중년 정도의 연령대에 발병하여 서서히 호흡곤란을 유발하며, 저산소증 혹은 심근경색으로 사망하게 되는 등 경과가 좋지 않은 병이다. 2003년도 차인표와 김희애가 등장한 드라마 ‘완전한 사랑’에서 극중 하영애가 앓았던 병이며 이 드라마를 통해서 유명해졌다. 간질성 폐질환(ILD) 중 특발성 간질성 폐질환(IIP)의 2/3정도를 차지하는 병이다.
호흡곤란과 기침, 청색증(저산소증에 의해 입술주변이 파랗게 질리는 현상), 곤봉지(만성적인 저산소증에 의해 손가락 끝이 둥글게 되는 현상) 등이 나타나게 된다. 폐 섬유화가 진행될수록 이런 현상들이 심해지며 만성적인 호흡곤란과 저산소증을 겪게 된다.
특발성 폐섬유화증의 주 증상은 운동 시 호흡 곤란입니다. 증상이 진행될수록 호흡 곤란이 더 심해집니다. 또한 폐의 염증과 섬유화로 기도와 폐에 자극을 가하여 마른 기침을 자주 하게 됩니다. 호흡이 어려워지면 심한 경우 저산소증이 올 수 있습니다. 이로 인해 손가락 끝이 둥글게 되는 곤봉지 현상도 나타날 수 있습니다.
현재까지 원인으로 뚜렷하게 입증된 것은 없다. 가장 널리 인정되는 가설은 이 병에 걸릴만한 감수성이 있는 사람에게 알 수 없는 자극이 계속 가해져서 생기는 것이다. 이 때, 환경, 바이러스, 유전 등의 다양한 인자가 중요한 역할을 하리라 생각된다. 흡연은 이 중에서도 중요한 발병인자라고 여겨지고 있으며, 흡연자가 발병률이 높다는 사실이 이를 뒷받침한다. 이런 여러 인자가 폐에 염증을 유발하고, 염증이 치유되는 과정에서 섬유세포가 증식하여 폐에 섬유화가 진행된다.
폐
흉강경 혹은 개흉을 통해 충분한 폐 조직을 얻어 검사하는 것이 가장 확실한 진단 방법이다. 조직생검에서 벌집 모양(honeycombing)이 보이면서 그 형태가 일정하지 않고(heterogenicity) 섬유세포 군집(fibroblastic foci) 등이 보이면 진단한다. 조직생검을 거치지 않고도 방사선적 영상, 폐 기능 소견, 기관지 내시경을 통한 폐포 세척액의 결과를 통해 비교적 정확하게 진단하기도 한다. 그러나 진단이 불확실한 경우는 개흉수술을 통한 조직생검으로 진단이 이루어져야 한다.
특발성 폐섬유화증 초기에는 단순 흉부 X-ray 검사에서 정상으로 나타날 수 있습니다. 하지만 질병이 진행되면 흉부 X-ray 검사에서 이상 소견이 확인됩니다. 간질성 폐렴을 진단하는 데는 고해상도 흉부 CT가 중요합니다. 초기 이상 소견도 발견할 수 있습니다.
흉부 CT에서 특징적인 소견이 보이면 특발성 폐섬유화증을 진단할 수 있지만, 영상 및 임상 소견으로 진단이 확실하지 않은 경우에는 기관지 내시경 및 기관지 폐포 세척 검사, 흉강경 수술을 통한 폐 조직 검사를 시행하기도 합니다. 또한 폐 기능 검사를 시행하여 질병의 중증도를 평가하고, 진행 속도를 확인합니다.
[특발성 폐 섬유화증(IPF)의 임상적 진단기준]
1) 주요기준(major criteria)
a. 다른 이유에 의한 간질성 폐질환의 배제 : 약물중독, 환경적인 노출, 교원성 질환
b. 제한성 폐질환을 포함하는 폐 기능의 이상
c. 고화질 전산화 단층촬영(HRCT)에서 나타나는 양쪽의 망상형 음영과 일부분의 간질성 음영
d. 경기관지 폐 생검(transbronchial lung biopsy) 혹은 기관지경 폐포 세척검사(BALbroncho alveola lung biopsy)에서 다른 진단을 시사하지 않을 때
2) 2차 기준(minor criteria)
a. 나이 > 50세
b. 다른 이유로 설명되지 않는 호흡곤란이 서서히 진행될 때
c. 질병기간이 3개월 이상
d. 폐저부에 흡입 시 우지직 소리나는 이상 청진 소견
위 진단기준에서 주요기준을 모두 만족하면서 동시에 2차 기준 중 3가지를 만족하면 수술적 폐 생검(surgical lung biopsy)을 하지 않아도 특발성 폐 섬유화증( IPF)을 임상적으로 진단할 수 있다.
X-ray에서 전형적인 진행 형태가 있다. 처음에는 비특이적인 음영과 폐 부피 감소로 나타났다가 간질 침윤 형태로 변한 뒤 궁극적으로는 벌집처럼 구멍이 뚫린 형태로 변한다. 처음에 방사선학적으로 정상에 가까울수록 예후는 좋은 것으로 알려져 있지만, 흉부 사진이 염증을 잘 반영하는 것은 아니다.
폐 기능 검사에서는 전체 폐활량이 감소하는 제한성 폐 기능 장애가 나타나며, 폐 확산능(DLCO)도 떨어지게 된다. 폐 확산능의 감소 정도는 폐 고혈압 및 생존 기간과 관련된 것으로 알려져 있다.
기관지 내시경 후 기관지폐포세척액(BAL) 의 분석은 폐 염증 정도를 잘 반영하기에 흔히 실시되며 여기서 호중구(neutrophil)가 많이 나오면 염증이 보다 진행한 것을 뜻하고, 치료에 반응이 좋을수록 호중구의 수치가 떨어지게 된다.
비특이성 간질성 폐렴(NSIP)과 특발성 폐 섬유경화증(IPF)이 명확히 구분되지 않았던 1994년 이전의 보고에 의하면 스테로이드와 세포독성 약물(cytotoxic drug)을 사용할 경우 10~30%에서 반응이 있다고 하나 이는 대부분 비특이성 간질성 폐렴(NSIP)의 경우라고 여겨지며 현재 특발성 폐 섬유경화증(IPF)은 이런 약에 반응이 없는 것으로 생각된다. 따라서 최근에 항 섬유화제(anti-fibrotic agent)가 주종을 이루며 여러 시도가 되고 있으나 아직 그 효과는 미지수이다.
특발성 폐섬유화증 치료를 위해 항섬유화 효과가 있는 퍼페니돈(pirfenidone)과 닌테다닙(nintedanib)이라는 약제를 사용합니다. 이 약제는 질병의 진행 속도를 지연하는 효과가 있는 것으로 입증되었습니다. 현재 특발성 폐섬유화증의 치료제 개발을 위해 많은 임상 연구를 진행하고 있지만, 아직까지 이 질병을 완치할 수 있는 약물은 없습니다. 질병이 진행된 환자는 경우에 따라서 폐 이식을 고려해야 할 수 있습니다.
1) 스테로이드
전통적으로 가장 많이 쓰인 치료 방법이고 일부 환자에게는 증상을 일시적으로 개선시키기는 하나 부작용으로 장기간 사용하지 못하며 생존기간을 연장시켜주지도 못한다. 급성 악화(acute exacerbation)가 일어났을 경우에 사용해 볼 수 있다.
2) 인터페론 감마
인터페론 감마가 섬유세포의 증식을 억제하는 효과가 있어 치료에 효과를 보일 거라는 가설이 제기되어 왔다. 이에 임상 연구가 이루어졌고 폐 기능이 좋은 집단(FVC, 최대로 숨을 내뱉을 수 있는 양>62%)에서는 일부 생존율에 이득이 있다는 보고도 있었다. 그러나 다른 대규모 연구에서는 위약(placebo)에 비해 이득이 없어 연구가 조기 종료되기도 하였다.
3) 기타 약물
그 외에 아세틸시스테인(acetylcystein)을 스테로이드와 병용하였을 경우 스테로이드 단독 보다 폐 기능 감소를 억제하였다는 보고가 있고, 피르페니돈(Pirfenidone)도 폐 기능 감소 속도를 줄였다는 보고가 있다. 보센탄(Bosentan)이 일부 환자의 사망률을 감소시켰다는 보고도 있다. 페니실라민(Penicillamine), 인터페론 베타, 각질세포 성장인자, 캡토프릴(captopril), 클로람뷰실(Chlormbucil) 등이 시도되고 있으나, 이 모든 약물 치료가 환자의 생존에 대한 뚜렷한 효과를 입증하지는 못하였다.
4) 약물 외의 치료
폐 이식, 산소, 예방 접종 및 호스피스 등이 있다. 폐 이식은 65세 이하의 환자가 특별히 앓고 있는 다른 질환이 없고 사회 경제적으로 감당할 수 있으면 시도해 볼 수 있으며, 최근에 보고되는 중앙 생존기간은 진단 후 3년 내외이다.
진단 후 5년 생존율은 43%, 10년 생존율은 15% 정도로 좋지 않으며, 비록 많은 연구가 시행되고 있지만 현재까지 생존율을 향상시킨 치료 방법이 없다. 비특이성 간질성 폐렴(NSIP), 특발성 기질화 폐렴(COP) 등의 다른 간질성 폐질환이 적절히 치료되면 비교적 경과가 좋은 것을 고려해 볼 때, 간질성 폐질환 중에서도 병의 경과가 안 좋은 병이라 할 수 있다.
가장 흔한 사망 원인은 호흡부전(39%)과 심장질환(27%) 이며, 그 외에 폐암, 폐 색전증, 폐렴 등이 있다. 고령이거나 남성인 경우, 혹은 진단 당시 폐 기능이 안 좋거나 조직검사에서 섬유세포집단(fibroblastic foci) 등이 많을 경우 예후가 더 좋지 않다.
특발성 폐섬유화증은 완치할 수 없는 질환입니다. 하지만 진행 상황이나 증상의 경중에 따라, 혹은 원인이 무엇인가에 따라 약물 치료로 빠르게 호전되는 경우도 있습니다. 몇 개월 간 서서히 좋아지기도 합니다.
특발성 폐섬유화증의 가장 특징적인 합병증은 서서히 진행되는 호흡 부전입니다. 수개월 혹은 수년에 걸쳐 지속적인 호흡 부전이 심화되어 사망하는 경우도 있습니다. 또한 정상인보다 폐암 발병률이 높은 것으로 보고되었습니다.
6예방방법
금연이 가장 확실한 예방법이며 발생을 줄일 수 있다.
특발성 폐섬유화증 환자가 흡연 중이라면 금연하는 것이 가장 중요합니다. 이 외에도 폐에 자극을 줄 수 있는 환경적 요인을 피하는 것이 좋습니다. 폐렴이나 독감 등의 질환에 걸리지 않도록 각별히 신경써야 합니다.
특발성 폐섬유화증 관련 댓글 모음
폐섬유화 진단받고 3개월만에 돌아가셨습니다. 벌써 8년전이네요..
특발성 폐 섬유화증 말 하는거지..?
통상 진단 후 5년 정도를 예상 한다고 해. 그리고, 정말 슬프게도 기가막힐 정도로 그게 맞아.
이제 막 진단 받으신거면, 아직은 건강이 크게 나빠지시지 않은 것 같고, 노력하고 애 쓰면 병을 이겨낼 수 있을것 같고 그럴거야. 안 그래. 5년 내로 돌아가실거야. 그러니 다행히 아직 좀 걸으실 수 있고, 활동하실 수 있다면, 어차피 길어봐야 5년이야. 다른거 다 제쳐놓고 아버지와 시간 많이 가져.
폐 기능이 떨어진다는 건, 인체가 유지되기 위해 반드시 필요한 산소 공급이 나빠진다는 것을 의미 해. 신체의 모든 기관의 기능이 퇴화되고, 점점 몸이 야위어 가. 우리 아빠는 가실 때 몸무게가 30 kg 도 안되더라고. 게다가 이 병은 치료제가 없어. 억제제만 있는데, 이 억제제가 식욕을 떨어트리고 구토를 유발하는 부작용이 있어. 그래서 가뜩이나 야위어 가는데 영양상태도 나빠지지.
어느정도 증상이 진행되고나면, 이 병을 앓는 사람들은 낫고 싶다는 생각 보다는 얼른 이게 끝났으면 좋겠다는 생각을 하는거로 보여. 병을 이겨내기 위해 함께 노력 해 주길 바라는 건 건강한 가족들의 욕심일 뿐이야. 정작 당사자는 이제 빨리 가고싶다는 생각을 하는것으로 보인다는거지. 인체는 산소부족을 감지하지 못 해. 이산화탄소 과잉을 감지하고, 체내의 이산화탄소 농도가 높아지면 호흡충동을 느끼며 괴로워하게 되지. 폐 기능이 거의 상실되기 전 까지는 산소 부족은 산소공급기를 사용 해서라도 높은 농도의 산소를 공급 함으로서 생명 유지는 할 수 있어. 문제는 산소 공급기를 사용 하더라도, 폐 기능 자체가 나빠졌기 때문에 체내의 이산화탄소를 배출하는 기능은 어찌 할 방법이 없거든. 그럼 어떻게 될까? 만성적인 호흡충동을 느끼게 되는거야. 그게 얼마나 고통스러울까? 보통의 건강한 사람이 상상이나 할 수 있을까? 넌 지금 앉은 자리에서 숨을 2분이라도 참을 수 있겠어? 앞으로 아버지는 그 상황의 고통을 항시 느끼고 있는 상황에 놓이게 될 거야.
감이 안 올거야. 아직은 건강한 정도는 아니어도, 병자처럼 보이진 않을거니까. 빠르지 않더라도 걸어다니시고, 운전도 하시고, 가족들과 식사를 하거나, 대화도 하시겠지. 하지만 생각보다 빠르게 5년이라는 시간이 흐를거고, 그 날이 눈 앞에 닥칠거야. 그러니, 이제 정말 얼마 안 남았으니 아버지가 너와 담담히 대화를 이어갈 수 있는 지금 최선을 다해 함께 해 드려.
자식들은 항상 이런 소리를 하지. 왜 부모님은 나를 이해 해 주지 못 하는 거냐고. 세대가 다르고 시대가 다른데, 왜 자꾸 자신들의 이야기만 강요 하냐고. 헌데 정작 자식들은 부모를 이해하기 위해 어떤 노력을 하며 살고 있을까? 난 그것을 못 했던게, 지금도 너무 후회된다.
최선을 다해 함께 해. 그런다고 후회가 없지는 않겠지만, 해 줄 말이 이것밖에 없다.
치료에 주로 사용되는 약인가 봅니다
어떤 약에 어떤 반응이 있었는가에 따라서
처방이 달라지는군요
소화기를 보하는 처방을 함께 사용해서
체력 기력도 좋아지게 해주신 덕분에
환자분이 좋아지신 것 같네요
엄마가 이번주에 특발성폐섬유화증 확진받으셨어요..ㅠ
분당 서울대병원에서 폐 조직검사 하구요..ㅠ
하루아침에 이런 청천벽력이..ㅠ
확진후 5년내 사망률 50프로 라는데..너무 무섭네요. ㅠ
현재 치료법도 없고 치료약도 없고 희귀성난치병으로 등록된 병이래요.
폐가 점점 굳어가는걸 조금 완화시켜주는 약만 있을뿐.. 이 약 마져도 부작용이 많이 있네요.
이 병 아시는분 계시면 물어보고싶은게.. 다른병원 아신병원이나 삼성병원(현재 이 병 과 있는병원) 에 가서 다시 상담 받아보는게 나은지.. 뭘 어떻게 해야하는건지..ㅠ
수술도안되고 약도없고. ...정말 넘하네요..ㅠ
맞아요, 댓글쓰신분 말씀대로 관련 병 앓고계시는분들께서 가입하신 까페에 들어가시면 관련해서 국내 권위있는 의사나 병원명이 나올꺼에요. 아님 국내 top3 설대/삼성/아산병원중 두세군데 더 상담받아보시는것도 어떠실까 조심스레 댓글답니다..
유사한데 지인 급성으로 진단받고 아산에서 2년 얘기하셨는데 4년넘었고 지금 굳는거 진행 거의 안되서 일상생활 하세요. 걷고 식사하시고 등등 당시 스테로이드 때려넣어서 일단 진행 막았었던... 희귀라 무슨 등급받아서 당시 엄청 비싼약을 저렴하게 드셨었어요. 힘내십쇼
저희 어머니도 폐섬유증 진단 받으셨어요 벌써 10년전쯤이고 결혼하기전이라 자세히는 모르나 수술도 하시고 약도 드시고 지금은 진행없어서 병원에 1년에 한번 체크만 하러다니세요 아산병원이요
스테로이드 복용..증상완화..폐이식 그것 밖에 답이 없어요ㅠㅠ저희 아빠는 심질환도 있고 해서 폐이식대기중에 급격히 안좋아지셔서 돌아가셨는데요ㅠㅠ폐가 안좋으니 심장에도 부담이 가니..ㅠㅡㅜ 큰 기저질환 없이 괜찮으면 잘 버티실수있어요...폐이식하시구 잘 지내시는분들도 많이 계시니 화이팅하세요.
한번 안좋아지면 급격히 안좋아지는게 무섭더라구요..ㅠ몇년동안 변화없다가 숨차시는증상있고..산소도 하시구.. 흑ㅠ명절되니 아빠보구싶네요..
친정 아버지가 특발성 폐섬유종 진단 받으셨어요. 무엇보다 기초체력이 중요합니다. 저도 그 때 보통 진단 후 2년 이라는 얘기 많이 들어서 멘붕 겪었는데... 아버지 약 드시다 중간에 끊고 잘 생활하세요 거의 5년 되셨는데.. 아무래도 연세가 있으셔서 힘드신 것도 있지만 평상시와 다름 없이 잘 생활하세요. 너무 걱정 마시고 운동 꾸준히 하실 수 있도록 도와드리세요. 응원합니다
2022.12.20 - [질병공부] - 만성 기관지염 증상 원인 치료
만성 기관지염 증상 원인 치료
만성 기관지염은 기관지 내에 점액이 많이 생산되고 가래가 1년중에 3개월 이상 지속되다 2년이 이어지면 만성이라고 본다. 기관지염은 방치하면 폐렴으로 번지는 수도 있으니 평소 습도 관리와
a2.bbalri.com
2022.12.21 - [질병공부] - 만성 비염 수술 치료 원인 한의원
'질병, 건강 공부' 카테고리의 다른 글
| 당뇨병 초기 증상 수치 원인 치료후기 (0) | 2022.09.21 |
|---|---|
| 아르기닌 효능 및 부작용 (0) | 2022.09.21 |
| 족저근막염 주사 치료방법 깔창 신발 치료법 (0) | 2022.09.16 |
| 보스웰리아 효능 무릎 천식 (0) | 2022.09.15 |
| 척추측만증 증상 운동 원인 통증 특발성 치료 (1) | 2022.09.15 |